Dr. Nathan Granillo uses few to no attachments on his uSmile™ aligner cases and is happy with how they are tracking to completion. When he switched to uLab®, he used the same attachment protocols he had with the pioneering brand. He quickly noted that the uSmile aligner material exhibited greater retention and the trays fit very snugly. He initially experimented by eliminating attachments on the posterior teeth and then progressed to decreased attachments on the anteriors as well. Patient comfort has increased with no decline in aligner tracking.
Now he places attachments sparingly—typically just incisors and only to achieve significant rotation or extrusion.
With the flexibility to order in sprints, he monitors how individual patients respond without attachments. “When I place my first order, I often don’t place any attachments at all. If the teeth track, I just order the second series. If an individual tooth or two aren’t tracking perfectly, I add attachments where needed.”
“Standard protocol with my previous brand was to start with 3 mm rectangular attachments on the 4s and 5s, beveled gingivally along with sash attachments on maxillary lateral incisors. It was necessary to keep the aligners seated. Even with mild cases there were a lot of attachments—I had to make sure that whatever I did worked. When I finish an old case from the previous aligner company, we routinely remove a dozen or more attachments. With uLab it’s between zero and four,” explains Dr. Granillo.
Dr. Granillo has been developing this attachment philosophy over the last year and a half but has quickly seen the benefits in his practice with fewer attachments. Patients are happier, placement/removal appointments are shorter, and the aligners are easier for the patient to seat and remove.
![]() | About Dr. Nathan Granillo Dr. Granillo studied dentistry at the University of California San Francisco and completed his orthodontic residency at Virginia Commonwealth University. He practices in Southern California and enjoys traveling with his wife and two children. |
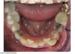
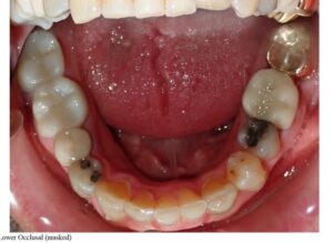
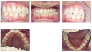
Case 1 – No attachments, lower treatment only (extraction LL2)
| Initial | 6-month progress, 25 aligners |
![]() | ![]() |
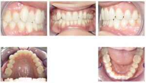
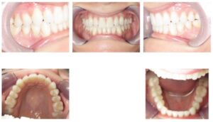
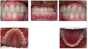
Case 2 – Attachments on U/L 2s
| Initial | 5-month progress, 14 aligners |
![]() | ![]() |
Case 3 – Attachments on UL1, U2s, L2s and L3s
| Initial | 6-month progress, 22 aligners |
![]() | ![]() |
Case 4 – 14 attachments
Previous brand with typical attachment protocol (14 attachments, progress photos at 21 months)








